¡Encuentra a tu médico o especialista!
¿Buscas algún tema en específico?
Visita nuestro foro, realiza preguntas a los especialistas y ve otras dudas que han sido resueltas.
Fibrosis pulmonar puede confundirse con una simple tos o alergia mal cuidada: identifica los síntomas clave
¿Qué es la fibrosis pulmonar? No es la primera vez que sabemos de enfermedades graves que son confundidas con síntomas menores de padecimientos “pasajeros” o de “fácil” tratamiento y este es el caso de la fibrosis pulmonar, una enfermedad en la que el tiempo importa y mucho, por ello, te decimos qué es y los síntomas de fibrosis que debes identificar a tiempo.
Te recomendamos: Mucho cansancio puede ser señal de estas enfermedades
Fibrosis pulmonar puede confundirse con una simple tos o alergia mal cuidada: identifica los síntomas clave
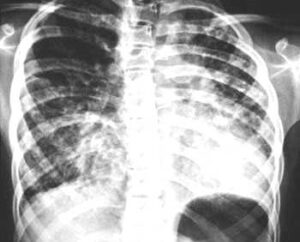
Todo comenzó con una tos seca por meses, la cual fue atribuida a una alergia mal cuidada; luego vino la falta de aire, primero al subir escaleras, después al hacer actividades de menor esfuerzo como caminar distancias cortas, hasta que, tras años de ir y venir de un médico a otro, un estudio especializado reveló la realidad: fibrosis pulmonar (FP), condición progresiva y potencialmente mortal que reduce de forma irreversible la capacidad respiratoria de quien la padece.
Esta historia refleja la vivencia de muchos pacientes con fibrosis pulmonar, la cual es consecuencia de más de 200 Enfermedades Pulmonares Intersticiales (EPI) , que suele confundirse con otros padecimientos respiratorios como asma, bronquitis y EPOC, y cuyo diagnóstico certero puede tardar entre dos y tres años, repercutiendo en el avance del deterioro pulmonar y en el retraso de un tratamiento que permita una mejor sobrevida y calidad de vida.
En el marco del Día Mundial de la Fibrosis Pulmonar, que se conmemora el 7 de septiembre, el Instituto Nacional de Enfermedades Respiratorias (INER) junto con Organizaciones de la Sociedad Civil como Pensemos en Cebras México, la Asociación Mexicana de Hipertensión Pulmonar (HAP México) y la Asociación Mexicana de Orientación, Apoyo y Lucha Contra la Esclerodermia (AMES), realizaron el Conversatorio “Unidos por la Salud Pulmonar: Estrategias para la Detección Temprana de la Fibrosis Pulmonar”, con el objetivo de hacer un llamado urgente a fortalecer el conocimiento de esta enfermedad y promover mecanismos que agilicen su diagnóstico y atención oportuna.
La fibrosis pulmonar se caracteriza por la inflamación de los pulmones y posterior cicatrización (fibrosis), condición que disminuye de manera gradual la capacidad respiratoria, provocando que los pacientes vivan con falta de aire constante, expresó la doctora Ivette Buendía Roldán, responsable del Laboratorio de Investigación Traslacional en Envejecimiento y Fibrosis Pulmonar del INER.
Si bien la fibrosis pulmonar es una enfermedad de baja prevalencia, cerca del 50% de los casos fallece de dos a tres años después de su diagnóstico, debido principalmente a la detección tardía, la cual limita la estrategia terapéutica y reduce el pronóstico de vida, aseveró la especialista.

Señales clave de fibrosis pulmonar, ¿cuáles son?
Dada la complejidad de esta enfermedad, los pacientes suelen ser diagnosticados en estados avanzados, expuso el doctor Omar Barreto Rodríguez, coordinador de Atención Médica de Neumología adscrito a la Subdirección Médica del INER:
“Por lo que,para revertir esta tendencia, hay dos señales clave para sospechar de la existencia de fibrosis pulmonar, que es la aparición de tos crónica que persiste por más de ocho semanas sin responder a tratamientos comunes; y la falta de aire que va empeorando con el tiempo, donde los pacientes comienzan a cansarse al subir escaleras, luego al caminar rápido, e incluso pueden llegar al punto donde respirar se dificulta en estado de reposo”.
Por su parte, la doctora Vijaya Rivera Terán, reumatóloga del Instituto Nacional de Rehabilitación “Dr. Luis Guillermo Ibarra” y miembro del Colegio Mexicano de Reumatología, agregó que, en pacientes con enfermedades autoinmunes asociadas a fibrosis pulmonar como artritis reumatoide y esclerosis sistémica, los síntomas respiratorios pueden surgir después de las manifestaciones articulares o cutáneas, por lo que hay que estar atentos a su aparición para actuar a tiempo.
Ante este panorama, los especialistas coincidieron en la necesidad de fortalecer la estrategia de detección temprana y atención oportuna de la fibrosis pulmonar a través de cuatro frentes: primero, campañas informativas para que la población conozca la enfermedad; segundo, educación desde el primer nivel de atención para que todo médico identifique los síntomas clave de una EPI; tercero, crear protocolos de derivación rápida para que los pacientes con sospecha de FP puedan acceder directamente a niveles de atención especializada y estudios específicos; y cuarto, formar equipos médicos multidisciplinarios en los hospitales de referencia, para mejorar la precisión en el diagnóstico y abordaje terapéutico en cada paciente.

Buscan empoderar a pacientes con fibrosis
Durante su intervención, las Organizaciones de la Sociedad Civil (OSC) ratificaron el compromiso que tienen para con los pacientes con fibrosis pulmonar. Jaqueline Tovar, presidenta y fundadora de la Iniciativa Pensemos en Cebras México, comentó:
“Nuestra misión es empoderar a los pacientes y a sus familias a través de educación y acompañamiento para que comprendan su enfermedad, conozcan sus derechos ante las autoridades y se conviertan en protagonistas activos de su propio cuidado”.

Te recomendamos: ¿Cómo saber que tomé mucho café? 12 señalas de exceso
Finalmente, los expertos enfatizaron que en la lucha contra la fibrosis pulmonar la clave está en no subestimar sus síntomas principales. La intervención oportuna puede marcar la diferencia entre una vida independiente o vivir postrado a un tanque de oxígeno. “Juntos, pacientes, médicos, instituciones y sociedad civil, podemos acelerar el diagnóstico y acceder a tratamientos que mejoren la calidad y el pronóstico de vida. Porque cada respiro cuenta y cada minuto es crucial.”
¿Alguna duda con respecto al tema?
¡Pregúntale al experto!Avances médicos duplicaron sobrevida de personas con mieloma múltiple: Ssa
¿Eres mujer de 25 años? Ya necesitas una prueba de Papanicolaou para detectar lesiones precancerosas
Lo más leído
Jalisco en alerta por aumento en casos de sífilis
Síntomas de VPH (los iniciales y más importantes)
¿Para qué sirve el Tationil Plus 300 encontrado en la cabaña de “El Mencho”
Guía: todos los signos y síntomas de VIH (iniciales, avanzados y al no tratarse)
Niña de 5 años fue picada por un alacrán y falleció: no había suero antialacrán en el IMSS
Comentarios
No hay comentarios aún.
