¡Encuentra a tu médico o especialista!
¿Buscas algún tema en específico?
Visita nuestro foro, realiza preguntas a los especialistas y ve otras dudas que han sido resueltas.
Increíble: neurólogos retiran tumor cerebral con técnica de paciente despierto
Especialistas en neurología y de diversas áreas retiraron exitosamente un tumor cerebral a un derechohabiente de 54 años, quien permaneció despierto durante el procedimiento que duró siete horas en el Centro Médico (CMN) “20 de Noviembre”, perteneciente al Instituto de Seguridad y Servicios Sociales de los Trabajadores del Estado (ISSSTE).
Te recomendamos: Mucho cansancio puede ser señal de estas enfermedades
Increíble: neurólogos retiran tumor cerebral con técnica de paciente despierto
El neurocirujano a cargo de la operación, Cuauhtémoc Gil Ortiz Mejía, informó que, en coordinación con la especialista en Neuropsicología, se decidió practicarle al derechohabiente un procedimiento llamado craneotomía con paciente despierto, a fin de regresarle las habilidades de lenguaje y motricidad que perdió paulatinamente en un lapso de dos meses por la presencia del tumor y detalló:
“El procedimiento realizado en agosto fue de alta complejidad, tuvo una duración de siete horas y se utilizó tecnología de vanguardia, como un neuronavegador cerebral, un microscopio quirúrgico, aspirador ultrasónico, craneotomo eléctrico, neuroestimulador eléctrico de la corteza cerebral, neuromonitoreo transoperatorio y equipo médico de neuroanestesia”.
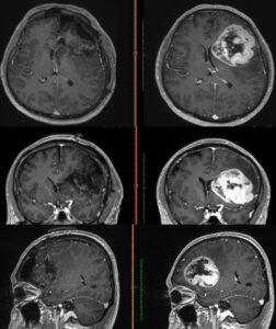
Para determinar la realización de este procedimiento y conocer el origen de los síntomas, explicó, el equipo médico del Instituto le realizó al derechohabiente estudios de tomografía y resonancia magnética.
También detalló:
“Se realizó tomografía de cráneo y, ante los hallazgos, se le practicó una resonancia magnética; posteriormente, se le detectó un tumor de características malignas en la región frontal premotora izquierda”.

El neurocirujano y miembro del Comité de Cirugía de Epilepsia y de Neurooncología, informó que el paciente recuperó inmediatamente sus funciones luego de la cirugía, por lo que fue dado de alta una semana después de haber sido intervenido para completar su convalecencia en casa, antes de continuar con el tratamiento complementario.
De acuerdo con un artículo en Medline Plus, un tumor es una masa anormal de tejido corporal. Los tumores pueden ser cancerosos (malignos) o no cancerosos (benignos):
“En general, los tumores ocurren cuando las células se dividen y se multiplican excesivamente en el cuerpo. Normalmente, el cuerpo controla la división y el crecimiento de las células. Se crean nuevas células para reemplazar a las viejas o para desempeñar nuevas funciones. Las células que están dañadas o que ya no se necesitan mueren para dar paso a las células de reemplazo sanas”.
Conociendo más de la neurocirugía para tumores cerebrales…
Al respecto, una publicación en neuron UP señala que la neurocirugía para tumores cerebrales con paciente despierto, que también se conoce como “craneotomía con el paciente despierto”, es uno de los procedimientos más complejos y sofisticados de la medicina:
“Es un procedimiento diseñado para tratar algunas enfermedades cerebrales (neurológicas), entre ellas, tumores cerebrales”.
Esta técnica permite a los neurocirujanos realizar la extracción quirúrgica:
“De esta forma se asegura de no dañar determinadas áreas del cerebro, mediante la monitorización en tiempo real mientras el paciente está consciente”.

Tras retiro de tumor, paciente recuperó su salud y calidad de vida
Este procedimiento se suma al realizado en julio de este año, en el que la paciente Yolitzin Salgado, de 34 años, también recuperó su salud y calidad de vida, gracias al profesionalismo del personal médico del Instituto.
Recuerda que este tipo de procedimientos siempre requieren de un equipo de atención especializado conformado por expertos en salud de distintas áreas, no te expongas.

Te recomendamos: ¿Cómo saber que tomé mucho café? 12 señalas de exceso
Finalmente, durante la intervención participaron el neuroanestesiólogo, Jesús García Cuevas; la Neuro psicóloga, Erika Graciela Meza Dávalos; así como los residentes de neurocirugía Francisco Castañeda Aguayo, Carlos Alberto Razo Vite, Salvador Guillermo Cabrera Medina; el psicólogo Diego Islas Almazán; los residentes de Anestesia, Daniela Santamaría Solís, Oscar Chimal García; la enfermera instrumentista, Carolina Reyes Iturbide; y la enfermera circulante, Gabriela López Montelongo.
¿Alguna duda con respecto al tema?
¡Pregúntale al experto!Donación de la familia de un bebé de año y medio, brindó nueva oportunidad de vida para Derek
EU registra una alta transmisión de COVID 19 que es riesgosa para México, advierten expertos
Lo más leído
Comentarios
No hay comentarios aún.
